
Wood Duck

Portrait: Katherine Nagel (In My Office)

fovi8 volume #2 issue #3

Thyme And Place Revisited

Retinal Blood Vessels

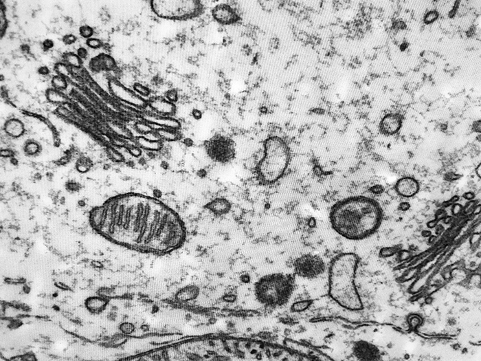
SEM vs. TEM

Ultrastructural Octopus

Lone Tree Waiting For The Storm

Atmospheric Moon

Sunset From The Moran Eye Center

Scientist, Photographer