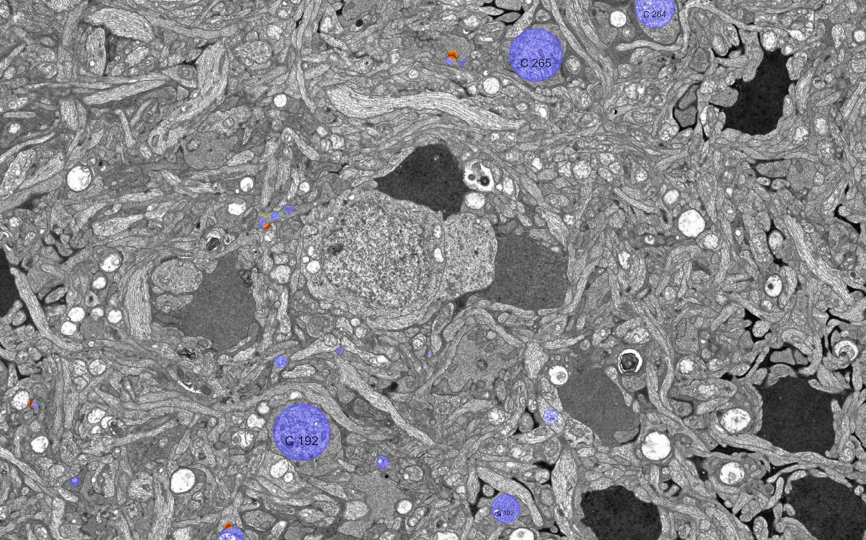
This is what a new connectomics dataset looks like when you are going through and annotating it. Annotating means following each one of those thin processes from the neuron through the complex tangle of “wires” and finding all the connections to learn how neural circuits are composed. Each one of those blue dots is a circle “drawn” by the annotator and the tiny orange dots are synaptic connections.
The danger of this is that you can get sucked in when annotating and before you know it, an entire day is gone. Pulling yourself away to write papers and grants has to happen… but not yet.

Your work on the retinal connectome is fascinating. I read recently that Dr Craig Venter and his group used a cluster of 128 computers to simulate the activity of a single Mycoplasma genitalium organism during one reproductive cycle. If it takes that much computer power to simulate a “simple” organism, how much computer power would be necessary to simulate all the cellular activity that occurs in the retina including all the synaptic neurochemical activity that occurs?
I don’t expect you to have an exact answer to that question, but wondered if you might have a guess.